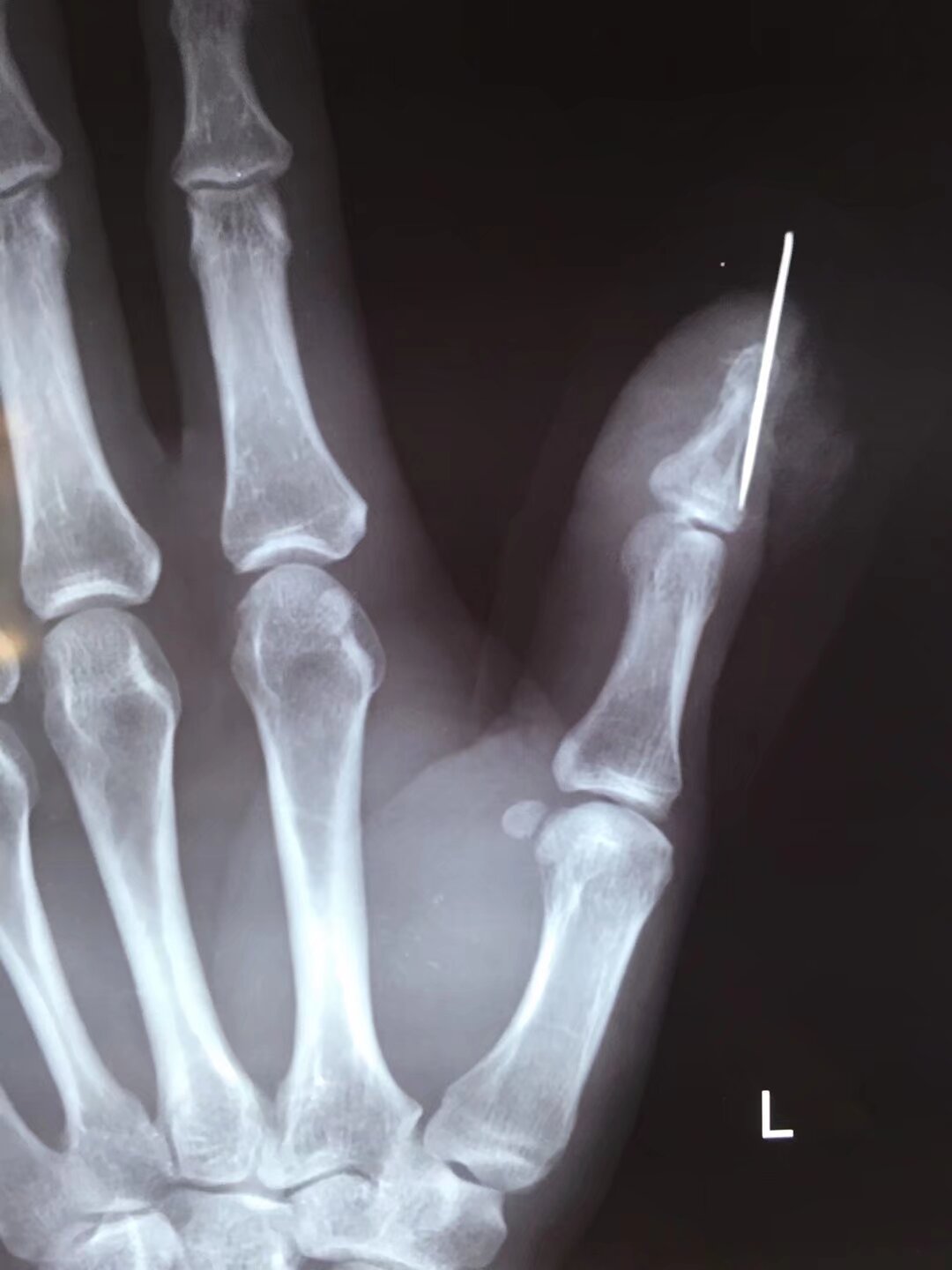
指骨骨折后,克氏针固定是临床常用的治疗方法,尤其适用于手法复位困难或不稳定的骨折,其应用主要体现在以下方面:
1克氏针的作用
- 维持骨折复位:通过穿针固定,能稳定骨折断端,防止移位,为骨折愈合提供稳定的力学环境。
- 促进愈合:避免骨折端活动干扰骨痂生长,加速骨折愈合进程。
- 便于早期功能锻炼:相比其他固定方式(如石膏长期固定),克氏针固定后可在保护下进行早期关节活动,减少关节僵硬等并发症。
2常用固定方式
- 单根克氏针固定:适用于简单横形骨折或斜形骨折,从骨折一端穿入,穿过骨折线至另一端,直接固定断端。
- 交叉克氏针固定:对于斜形、螺旋形或粉碎性骨折,采用两根克氏针交叉穿入骨折端,增加固定稳定性,防止旋转或侧方移位。
- 髓腔内固定:从指骨远端或近端髓腔穿入克氏针,贯穿骨折线,利用髓腔支撑作用固定,适用于长斜形或短缩倾向明显的骨折。
3术后注意事项
- 保持针道清洁:定期消毒针孔周围皮肤,避免感染。
- 限制过度活动:在骨折未稳定前,避免手指剧烈运动或负重,防止克氏针松动、折弯或骨折再移位。
- 适时拔除克氏针:一般固定4-6周,根据骨折愈合情况(通过X线检查确认)拆除,避免长期固定导致关节僵硬。
克氏针固定指骨骨折虽为常用方法,但也可能出现一些并发症,主要包括以下几类:
1感染相关
- 针道感染:最常见的并发症之一。克氏针两端暴露于皮肤外,若护理不当(如清洁不及时、消毒不彻底),细菌易从针道侵入,导致局部红肿、疼痛、渗液,严重时可能引发骨髓炎。
2克氏针相关问题
- 克氏针松动或移位:固定过程中若针的位置或深度不合适,或患者过早活动、负重,可能导致克氏针松动、退出,甚至移位,影响骨折固定效果,造成骨折再移位。
- 克氏针断裂:少数情况下,因克氏针材质问题、反复受力或骨折端不稳定时过度活动,可能出现克氏针断裂,增加后续处理难度。
3关节与功能障碍
- 关节僵硬:若固定时间过长,或术后未及时进行功能锻炼,手指关节周围组织易发生粘连、挛缩,导致关节活动受限、僵硬。
- 肌腱损伤:穿针过程中若操作不当,可能误伤周围肌腱,引起肌腱粘连、断裂,影响手指的屈伸功能。
4其他
- 骨折延迟愈合或不愈合:若克氏针固定稳定性不足,骨折端持续微动,或存在感染、局部血液循环差等情况,可能导致骨折愈合缓慢(延迟愈合)甚至无法愈合(不愈合)。
- 皮肤刺激或压疮:克氏针末端可能对皮肤产生摩擦、压迫,尤其在靠近关节或皮肤较薄的部位,易引起局部皮肤溃疡、疼痛。
多数并发症可通过规范操作、术后精心护理及早期功能锻炼预防或减轻,具体需遵医嘱进行术后管理。




0