病案介绍:
43岁的唐先生因“呼吸困难加重3月”于2023年4月13日来我院呼吸与危重症医学科住院治疗。患者曾从事隧道工作,高粉尘接触10余年,抽烟20年,每日20支。入院后完善胸部CT提示:“双肺弥漫性病变”。结合血气分析提示:I型呼吸衰竭,在高流量氧疗仪辅助通气治疗下(流速60l/min及氧浓度60%)血氧饱和度只能维持在85%左右。科室组织科内病例讨论,考虑“肺泡蛋白沉积症”可能,并制定诊疗计划。
第一步,在高流量氧疗仪辅助通气下,行无痛电子支气管镜检查,进行肺泡灌洗,灌洗液查tNGS、脱落细胞学。静置沉淀,评估是否蛋白沉积。


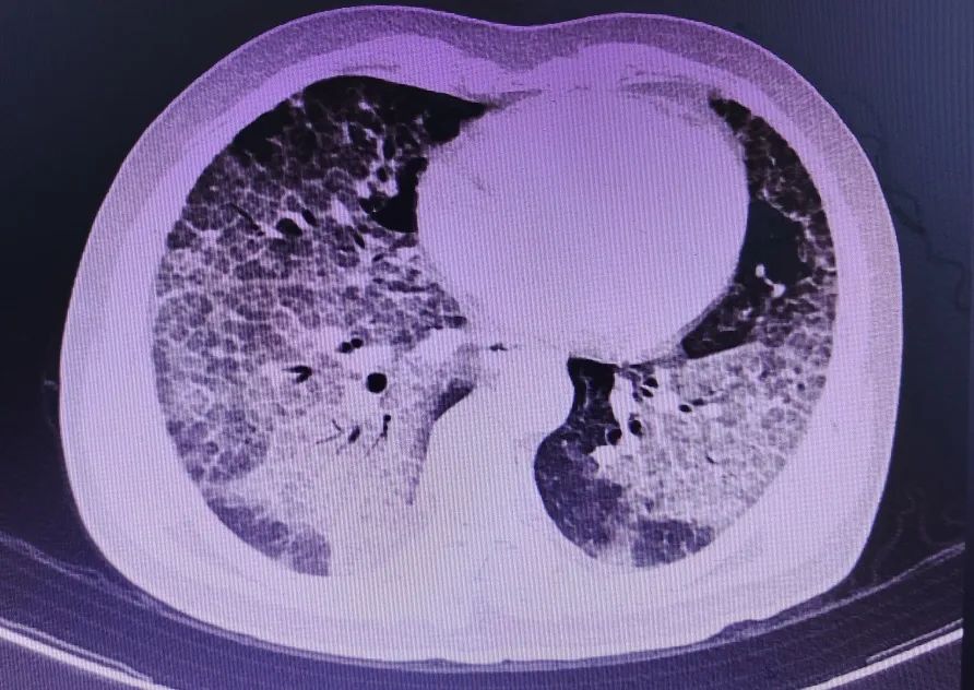
图1为入院时CT 图2为灌洗、治疗后CT
第二步,确诊后,分次行无痛电子支气管镜分段支气管肺泡灌洗术。其后,进行了3次治疗灌洗,总容量达9000ml,肺泡灌洗液由最初的浑浊牛奶色逐渐清亮。胸部CT提示双肺弥漫性病变较前明显改善。

图为灌洗液
高流量氧疗仪辅助通气+无痛电子支气管镜治疗技术结合运用于临床,为患者的呼吸治疗保驾护航。术后该患者未吸氧下,经皮血氧饱和度能维持在90%左右,患者的呼吸困难较入院前明显改善,终于能顺畅呼吸了。
健康科普
肺泡蛋白沉积症(pulmonary alveolar proteinosis PAP)是一种原因不明的、以肺泡内大量磷脂蛋白样物质异常沉积为特征的罕见病。发病率为每年0.2例/100万。由Rosen于1958年首次报道,国内于1965年首次报道,迄今为止大约有1000例。该疾病该病大多数患者发病隐匿,常见症状是呼吸困难伴有咳嗽,偶有咳痰。尤其好发于男性,其中约72%患者有吸烟史,中位诊断年龄约39岁。
支气管肺泡灌洗液呈牛奶状或泥浆状,静置后出现沉淀为其典型特征。治疗目标是清除沉积在肺泡腔内的脂蛋白样物质。对于有明显呼吸功能障碍的病人,全肺灌洗是首选和有效的治疗。经电子支气管镜分段支气管肺泡灌洗术是一项安全、简便、易推广使用及科反复进行及病人易接受等优点的技术。近来发现部分病人对GM-CSF替代治疗的反应良好。还需要注意查明是否存在原发病,对原发病进行积极治疗。
预防措施:
1.日常生活中因注意避免长期接触某些吸入性化学或物质,如硅和一些金属粉尘,接触记得戴口罩进行防护,同时最好不要吸烟。
2.日常生活中注意养成良好的生活习惯,根据自身的实际情况进行恰当的体育锻炼,增强自身的抵抗力。
3.平时一定要注意保暖,同时避免接触各种可能经呼吸道传播的病原体,以免发生肺部的感染,加重自身病情。
4.如果出现胸闷、气促,应及时至医院专科诊室进行诊治。
0